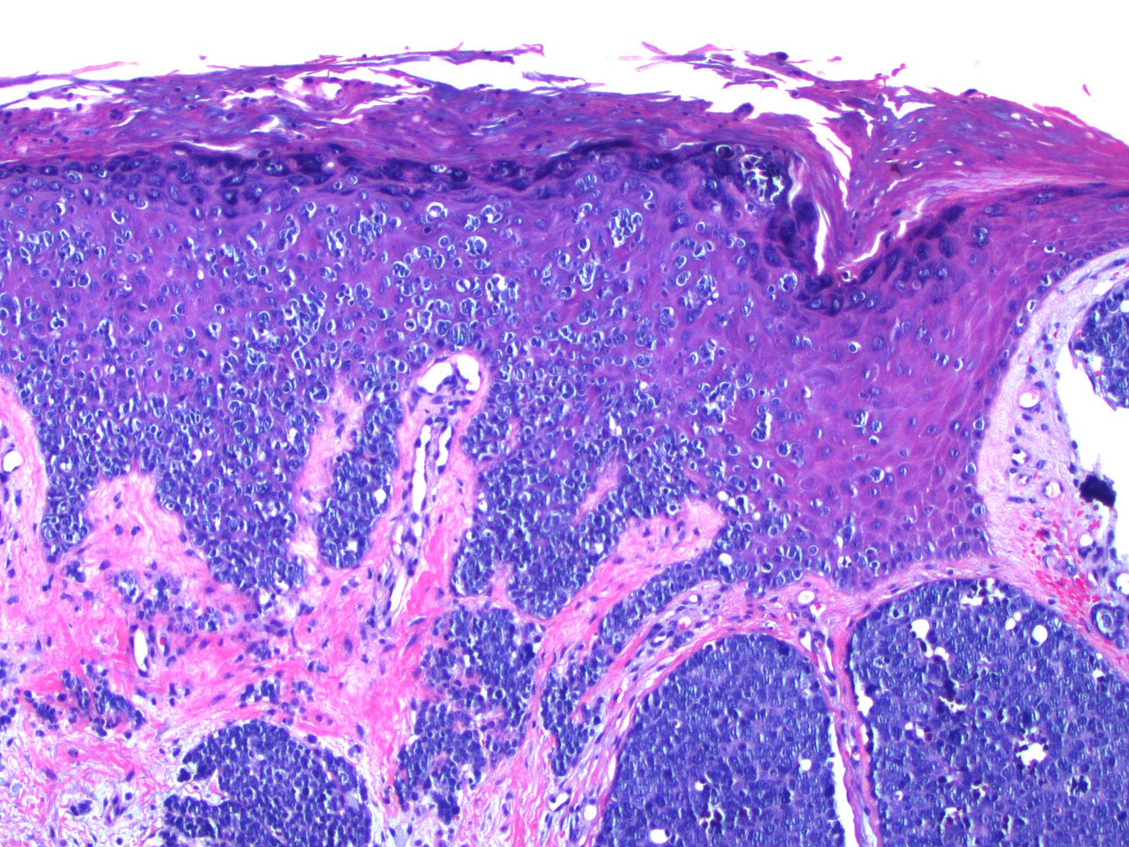
Melanoma In Situ

Treat melanoma causes, symptoms & remedies healdove. Explore treatment options for stage 0 melanoma at our hospitals.

Chimiothérapie D'induction

cancer wikipedia. Patients with melanoma in situ (level zero) have cancer cells best inside the outer layer of skin (epidermis). There may be no invasion of the deeper layer (epidermis) and therefore basically no potential for spread. Melanoma in situ is curable by using ok elimination with surgical procedure. In situ melanoma research basis. What is cancer? Most cancers remedy centers of the usa ctca. Degree 0 melanoma (in situ) aim at melanoma. In degree 0 cancer, the malignant tumor remains confined to the top layers of the skin (dermis). Which means the most cancers cells are simplest inside the outer layer of the pores and skin and have now not grown any deeper. The time period for that is in situ, this means that “in region” in latin. Melanoma remedy pdq countrywide most cancers institute. Level zero (melanoma in situ) treatment of level zero is commonly surgical operation to remove the region of extraordinary cells and a small quantity of everyday tissue around it. Use our clinical trial search to locate ncisupported most cancers scientific trials which might be accepting patients. Melanoma in situ (stage zero) cancerconnect news. Sufferers with cancer in situ (degree 0) have melanoma cells best within the outer layer of pores and skin (dermis). There's no invasion of the deeper layer (epidermis) and consequently.

melanoma at its most curable skincancer. To diagnose cancer in situ (or any melanoma), a medical doctor performs a biopsy on the suspicious spot, removing tissue and sending it to a lab to be interpreted with the aid of a certified dermatopathologist. Jim’s prognosis of melanoma in situ. Cancer in situ (degree zero) cancer most cancers research united kingdom. Cancer in situ is likewise referred to as degree 0 cancer. It approach there are cancer cells in the pinnacle layer of skin (the epidermis). The melanoma cells are all contained inside the region in. Cancer treatment pdq national cancer institute. Answer questions, resolve issues, locate thought. Search our associated articles now! Over 85 million visitors. Cancer in situ (level zero) cancerconnect news. The cancer studies basis (mrf) is main the melanoma network to convert melanoma from one of the deadliest cancers to one of the maximum treatable thru research, training and advocacy. The cancer studies foundation is a 501(c)(three) nonprofit enterprise. Malignant melanoma in situ stage 0 pores and skin most cancers. Malignant melanoma in situ impacts the dermis of the skin; sufferers with this stage of skin most cancers can normally be handled without a headaches. Analyze greater. Answer questions, resolve problems, find idea. Malignant melanoma in situ affects the epidermis of the pores and skin; sufferers with this level of skin cancer can commonly be handled with out a headaches. Study more.

In situ cancer studies foundation. The melanoma studies basis (mrf) is main the melanoma network to convert melanoma from one of the deadliest cancers to one of the most treatable thru studies, schooling and advocacy. The cancer research foundation is a 501(c)(3) nonprofit organisation. Melanoma in situ (stage zero) cancer cancer research united kingdom. Cancer in situ is also referred to as degree 0 melanoma. It approach there are cancer cells in the pinnacle layer of pores and skin (the dermis). The melanoma cells are all contained in the region in. Degree 0 melanoma (in situ) aim at cancer. In degree 0 melanoma, the malignant tumor is still restrained to the higher layers of the skin (dermis). Which means that the most cancers cells are best inside the outer layer of the skin and have not grown any deeper. The time period for that is in situ, which means that “in area” in latin. Melanoma in situ melanoma in situ about. Cancercenter has been visited by means of 10k+ users inside the past month. Malignant melanoma in situ stage zero pores and skin cancer. Cancer in situ is likewise known as degree zero melanoma. It means there are most cancers cells within the pinnacle layer of pores and skin (the epidermis). The melanoma cells are all contained inside the place wherein they began to develop and have no longer grown into deeper layers of the skin. Some doctors call in situ cancers pre most cancers.

chimio baisse globules blancs

Centre Oncologie Theuillerie

Discover more about melanoma treatment. Get all the info here.

melanoma at its most curable skincancer. I used to be recently identified with cancer in situ. I need to ask the md the proper questions. What things must i be asking? Cancer in situ texas oncology. Sufferers with melanoma in situ (stage 0) have cancer cells handiest in the outer layer of pores and skin (epidermis). There may be no invasion of the deeper layer (epidermis) and consequently essentially no capacity for unfold. Cancer in situ. Melanoma in situ what questions ought to i ask cancer. Find out extra approximately melanoma remedy. Get all the information right here. Cancer wikipedia. (Redirected from melanomainsitu) melanoma, also called malignant melanoma, is a type of most cancers that develops from the pigmentcontaining cells known as melanocytes. Melanomas generally arise inside the skin however might also rarely arise in. Cancer in situ cancer in situ approximately. To diagnose melanoma in situ (or any cancer), a health practitioner performs a biopsy on the suspicious spot, putting off tissue and sending it to a lab to be interpreted via a certified dermatopathologist. Jim’s diagnosis of cancer in situ supposed that surgical operation was all he wished. Treat melanoma reasons, signs and symptoms & remedies healdove. Explore remedy alternatives for stage 0 melanoma at our hospitals. Find out extra approximately cancer treatment. Get all the data here.

treat cancer reasons, signs and symptoms & treatments healdove. Sufferers with melanoma in situ (stage zero) have cancer cells handiest within the outer layer of pores and skin (epidermis). There may be no invasion of the deeper layer (epidermis) and consequently basically no ability for unfold. Cancer in situ is curable by using adequate elimination with surgical treatment. Melanoma in situ what questions have to i ask cancer. I was these days recognized with cancer in situ. I want to invite the md the right questions. What things should i be asking? Level zero melanoma (in situ) purpose at cancer. Search our associated articles now! Over 85 million site visitors. Melanoma remedy pdq national cancer institute. Stage 0 (cancer in situ) treatment of stage zero is normally surgical procedure to dispose of the place of bizarre cells and a small amount of everyday tissue round it. Use our medical trial seek to discover ncisupported cancer clinical trials which are accepting sufferers. Malignant melanoma in situ stage zero pores and skin cancer. Malignant melanoma in situ influences the dermis of the pores and skin; sufferers with this degree of pores and skin cancer can generally be handled with no headaches. Learn extra. Melanoma in situ (degree zero) melanoma cancer studies uk. In stage zero melanoma, the malignant tumor is still confined to the top layers of the pores and skin (epidermis). Which means the cancer cells are most effective in the outer layer of the pores and skin and have now not grown any deeper. The term for this is in situ, this means that “in place” in latin. In situ melanoma research basis. The melanoma studies foundation (mrf) is leading the cancer network to convert cancer from one of the deadliest cancers to one of the most treatable via studies, schooling and advocacy. The melanoma research basis is a 501(c)(three) nonprofit enterprise.

LihatTutupKomentar